ヨーロッパの先進国で根管治療を受けることができず、日本での治療を希望された方の症例です。

「日本よりも素晴らしい医療を受けることができそうなヨーロッパの国」から来院された方です。在住先の複数の歯科医院で右下5番の根管治療を断られたため、日本での治療を希望され来院されました。
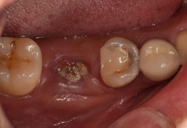
右下6番も根管治療を断られてしまい、痛みが酷かったため抜歯したそうです。抜歯してからも強い違和感と腫れが続いているそうです。前医で撮影したレントゲンデータをもとに、処置を進めることとしました。
先生だったらこの写真で右下5番を抜歯判定しますか?どう考えても、まずは保存を第一選択とするはずです。しかし、先進的な国であればあるほど、皮肉にも抜歯になってしまうのです。


広範囲に軟化象牙質を認めましたが、歯肉縁上に十分な健全歯質を保存できたため、根管治療を施術しました。前医での複数枚のレントゲン写真があったため、そちらを参考に処置を進めました。
抜歯判定となる一番の理由は成功率です。再根管治療の成功率は70%程度と言われているため、治療後に症状が緩和しない可能性があります。さらに根尖組織を刺激してしまうことで、3~5%の確率で激痛と著しい腫脹などの急性炎症が発生します。治療が成功しなかったり、施術後に激痛が現れたら…次のアポイントで弁護士が同伴してくるでしょう。
人間である以上、かならず不確実性が伴います。そこに「100%」を求めること自体が不可能なのですが、失敗を許容できない。だから確実に成功する抜歯となってしまうのです。
患者さんが「成功率の高い治療」を求めれば求めるほど、皮肉にもあなたの歯が失われることになるのです。たとえ十分に治療できる見込みがあったとしても…。

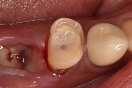
1回法で根管治療を終わらせてデンタルを撮影したところ、目を疑う光景がありました。
「6番の近心根がほぼそのまま残根しているぞ!…どうしよう」
根尖だけ若干残るのなら分かります。しかし、近心根がまるごと残っているのです。
これが日本よりも医療技術が進んでいる治療なのですか。
呆れて言葉が出ません。


患者さんに残根について説明し、限られたアポイントの中で、なんとか抜歯できました。
当医院は海外からの患者さんが多いため、外国の治療を目にする機会が多いのですが、精度や診断に疑問があることが非常に多いです。
私たち日本人は、ヨーロッパやアメリカの方が日本よりも医療が発展していて、素晴らしい医療を受けることができると妄信しています。メディアが良いところばかり発信するので、そのように勘違いしてしまうのでしょう。
私は声を大にして言いたい。
日本の歯科医療は本当に素晴らしい!
保険でほぼタダみたいに治療できるうえに、みんな善意で一生懸命に歯を残そうと頑張ってくれます。
そしてクオリティが圧倒的に高い!
私たち日本の歯科医師は、もっともっと自信とプライドを持つべきです!
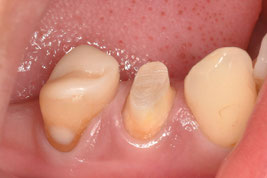
「この6番も、もしかして残せたのでしょうか?」
「頂戴した前医でのレントゲンからの憶測になりますが、おそらく残せたと思います。」


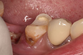
2日目にファイバーコアを植立しました。
最近じわじわ増えているのが「再根管治療を断られて来院される患者さん」です。成功率が低くて、トラブルになりそうな治療は最初から手をかけない風潮が広がりつつあります。
「保険診療では大幅な赤字になるし・・・気持ちはわかるけど」なんとなく寂しい気持ちになります。
日本でも根管治療を容易に受けられなくなる時代が、すぐそこまで迫っています。


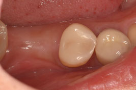
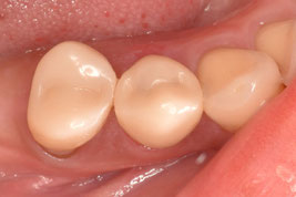
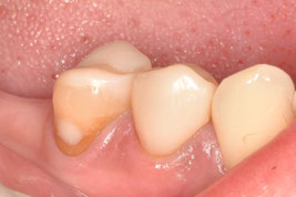
軸面の健全歯質を大幅に残したうえで、オーバーレイの形態で修復しました。インジェクションモールディング法を応用しております。直接修復なので、海外からの来院であっても、短期滞在で対応可能です。


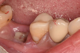
右下4番の治療を希望されて、1年ぶりに来院してくれました。問題なく良好に経過しているとのことで、とても安心しました。


1回法による根管治療で進めました。1回法だと3時間くらい口を開けっ放しになるので、患者さんは辛いと思います。ご協力いただき大変恐縮です。


ダイレクト修復に完全移行してから、歯冠形成が大きく変わりました。アンダーカットを積極的に付与するようになり、形成のキレイさを気にせず、健全歯を最大限残す形態になりました。
コア部分にグラスファイバー繊維を含有したエバーXフロー(GC)を用いております。エバーXフロー(GC)を使用するようになってから、修復物の破損が圧倒的に少ない!特にダイレクトブリッジの破折が目を見張るほどに減少しました!技術の向上に感謝です。


インジェクションモールディング法を用いて、ダイレクトクラウンにて完了させました。ファイバーコアによる支台築造と同時にダイレクトクラウンを成形するため、歯根・築造体・クラウンとが一体化したモノブロック構造で強度を担保できます。ファイバーコアからダイレクトクラウンまで一気に進めて、だいたい2時間の施術時間です。施術中にドクターが離れることができないのですが、圧倒的な時間短縮です。
エバーXフロー(GC)は従来のコンポジットレジンよりも硬いわけではありません。硬質フィラー含有量が少ないので、むしろ柔らかいのです。柔らかく、そして良くしなるため、割れないのです。
「柔よく剛を制す」という格言通り、硬ければ壊れないわけではありません。柔らかいことで、歯根に無理をかけない優しい治療が、ようやく日の目を見るのでしょう。
・注意事項
症例写真は患者様の了解を得たうえで掲載しております。
無断複写・転載は一切認めておりません。