根管治療で根尖病変が治癒せず、意図的再植術を適応することで保存できた症例。


在住先の歯科医院で「今すぐ抜歯してインプラントを入れないと大変なことになる!骨が溶けてしまう!」と説明を受け、契約を急がされ怖くなってしまったそうです。舌で触った時に穴が開いてるのが気になり、痛みはないが、歯茎の腫れと臭いと違和感があるそうです。保存治療を希望されて来院されました。

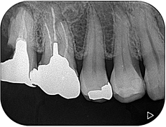
デンタル上で17根尖部から遠心にかけて透過像を認めました。歯冠遠心部はう蝕で崩壊しており、一見すると保存不可能に見える状態です。補綴物を撤去し、軟化象牙質を慎重に除去したところ、近心には十分な健全歯質が残存し、遠心にも健全歯質を保存することができました。レントゲンはあくまで画像であり、実際の状態と相違がある場合があります。レントゲンだけで判断する危険性を、改めて実感しました。


隔壁を作成しラバーダム防湿にて根管治療を施術しました。根管内からは多量の排膿を認めました。初回では可能な限り根管内から排膿させ、水酸化カルシウム製剤を貼薬して仮封しました。仮封すると圧力が高まり、疼痛の原因となりますが、再感染を防ぐために排膿を認めた場合であっても仮封します。ただし、強い疼痛が発現した場合は開放します。
2回法で根管充填しました。根尖病変は回数を重ねれば治癒するわけではありません。むしろ時間がかかればかかるほど、感染リスクが増大し、かえって悪化させる場合があります。そのため、当院では1回ないしは2回で根管治療を終わらせます。


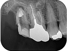
ファイバーコアにて支台築造して経過観察していましたが、根管充填後6週目で歯肉の著しい腫脹を認めたため、歯根端切除術を併用した意図的再植術に切り替えました。歯根の離開度が大きいと適応できない場合があるため、今回のように癒着していると抜歯が非常に楽です。

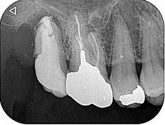
3週間後の経過観察で無事に生着していることを確認しました。歯肉の炎症も消失し、良好な経過と判断したため歯冠修復に移行しました。


近遠心的幅径を大幅に縮小させて、歯牙にかかる咬合力を軽減させると同時に、遠心部の清掃性を改善させました。


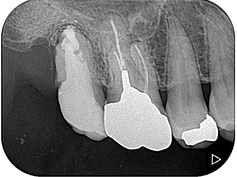
8か月後の経過観察になります。根尖部の透過像は大幅に縮小していることが確認できます。患者さんの自覚症状もなく、良好に経過しております。抜歯しなくて大丈夫だったことを大変喜ばれておりました。
最近の傾向として、大きな根尖透過像や太いメタルコアが装着されている歯の治療を避けている歯科医院が多いように感じます。本症例のように無理して保存治療するのではなく、普通に根管治療をして、普通に歯冠修復することが増えています。そのことを根管治療のセミナーで質問したところ「人手不足が影響している可能性」を指摘されていました。
もし、あなたの歯が「人手不足」で抜歯されていたら、どう思いますか?
人手が足りないから治療しない。
忙しいから治療しない。
時間がかかるから治療しない。
でも、私たち歯科医師は歯を治療することが仕事なのでは?
本症例はたった5回の通院で完了させました。たったの5回です。それでも、忙しいから治療しないのですか。そんな理由がまかり通ってしまうなら、歯科医師の存在意義を疑われることとなります。
・注意事項
症例写真は患者様の了解を得たうえで掲載しております。
無断複写・転載は一切認めておりません。